Cera Dental Clinic(以下「当院」)は、個人情報の保護を極めて重要な責務と認識し、個人情報保護法を遵守しております。本プライバシーポリシーでは、当院における個人情報の利用目的および利用方法、ならびに個人情報保護のために講じている措置についてご説明いたします。なお、当院が本プライバシーポリシーを改定する場合には、ウェブサイト上での告知(または個別通知)によりお知らせいたします。
コミュニティ
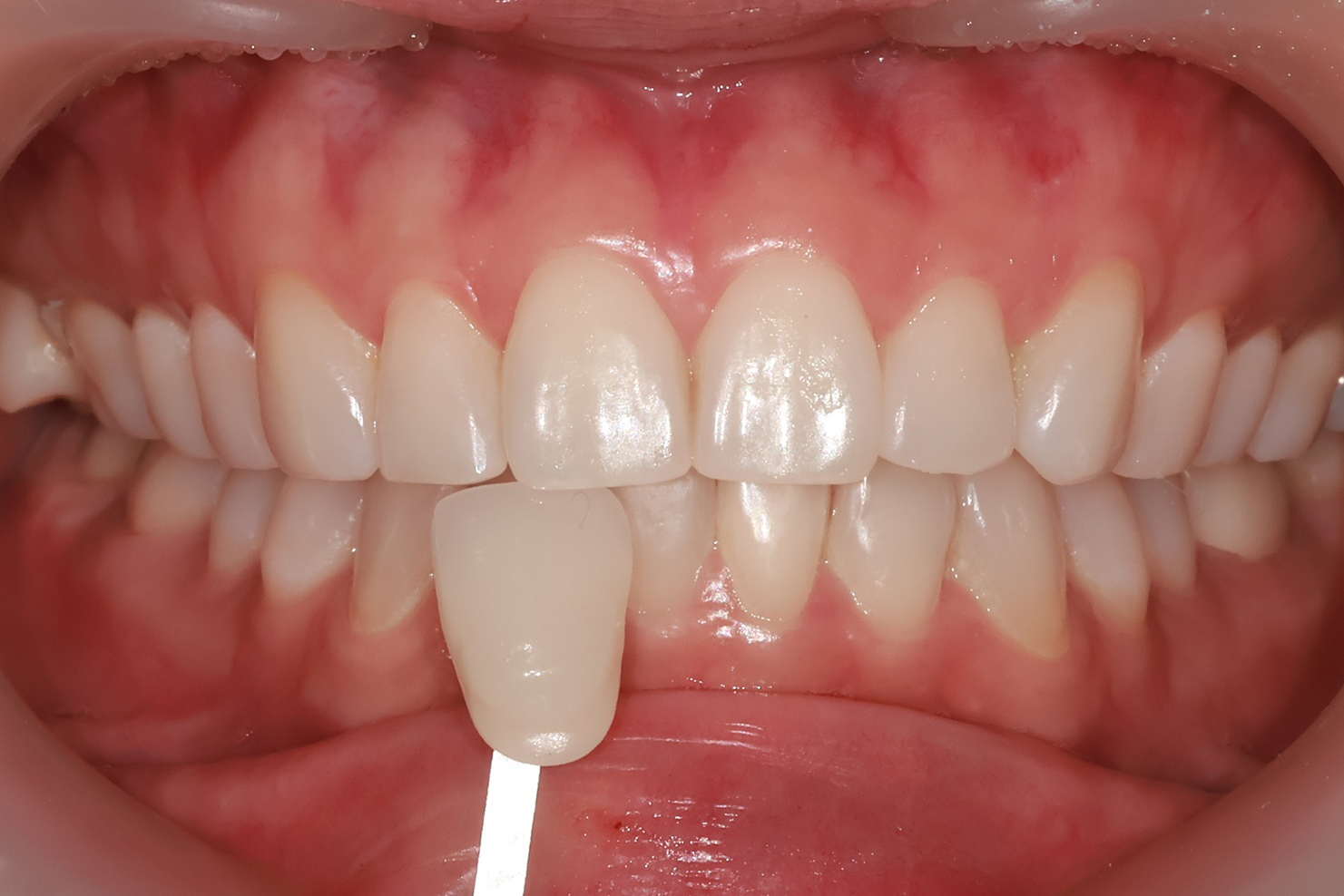
ビフォー&アフターギャラリー
-
Before
After
撮影日 2024.10.20 ~ 2025.01.05一般診療ホワイトニング
-
Before
After
撮影日 2024.11.10 ~ 2025.01.15一般診療ホワイトニング
-
Before
After
撮影日 2024.10.05 ~ 2025.03.20CERAMELCeraShield
-
Before
After
撮影日 2026.01.13 ~ 2025.01.10CERAMELCeraShield
-
Before
After
撮影日 2024.08.15 ~ 2025.01.20CERAMELCeraShield
-
Before
After
撮影日 2026.01.13 ~ 2026.01.13CERAMELCeraShield
-
Before
After
撮影日 2024.09.10 ~ 2025.02.15CERAMELCeraShield
-
Before
After
撮影日 2024.07.22 ~ 2025.01.10CERAMELCeramel
-
Before
After
撮影日 2024.06.18 ~ 2024.12.20CERAMELCeramel
-
Before
After
撮影日 2024.09.25 ~ 2025.03.15CERAMELCeramel
-
Before
After
撮影日 2024.08.05 ~ 2025.01.12CERAMELCeramel
-
Before
Middle
After
撮影日 2024.07.08 ~ 2024.12.18CERAMELCeramel