加速矯正プログラム
矯正

加速矯正プログラム

最小限の矯正で、
最大限の審美効果

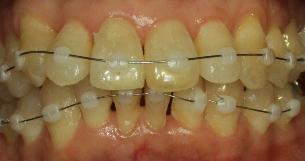
短期矯正による精密な配列設計
Ceramelの施術前に短期矯正を行い、歯列バランスと咬合の安定性を整えます。

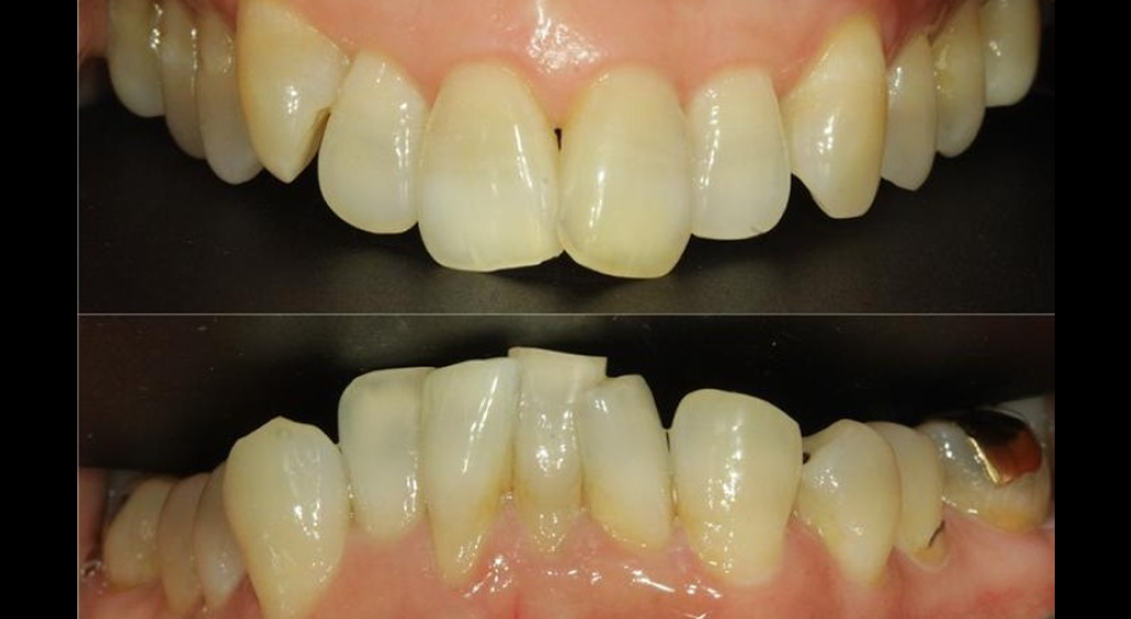
  • 01 矯正前
    矯正前
  • 02 矯正中
    矯正中
  • 03 矯正後
    矯正後
  • 04 Clara AI & Ceramel 完了
    Clara AI & Ceramel 完了

治療の差別化ポイント

  • 治療期間を短縮

    従来より大幅に短く、最短3〜6か月で目標に近づけます。

  • 歯の切削を最小限に

    矯正後、Cera Dental独自のCeramel治療により
    最小限の調整だけで、理想のデザインを自然に完成へ導きます。

治療の流れ

  • high_speed_process1

    短期で歯列を整える

    ブラケット矯正で効率よく歯列を整えます。
    治療期間は平均3〜6か月で、症例により異なります。

  • high_speed_process2

    精密なCeramel微調整

    その後、Ceramelによる微調整で
    歯列と咬合を自然に整えます。

  • high_speed_process3

    定期モニタリング

    治療後は定期的なケアで、歯の微細な動きや歯肉状態をモニタリングし、問題があれば早期に対応します。