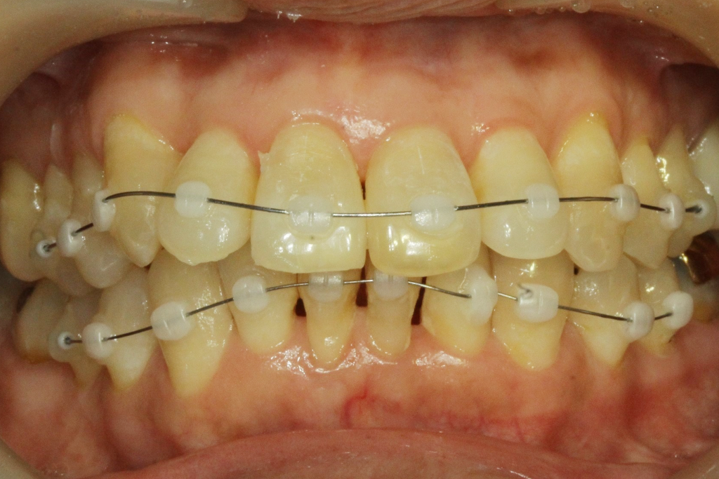
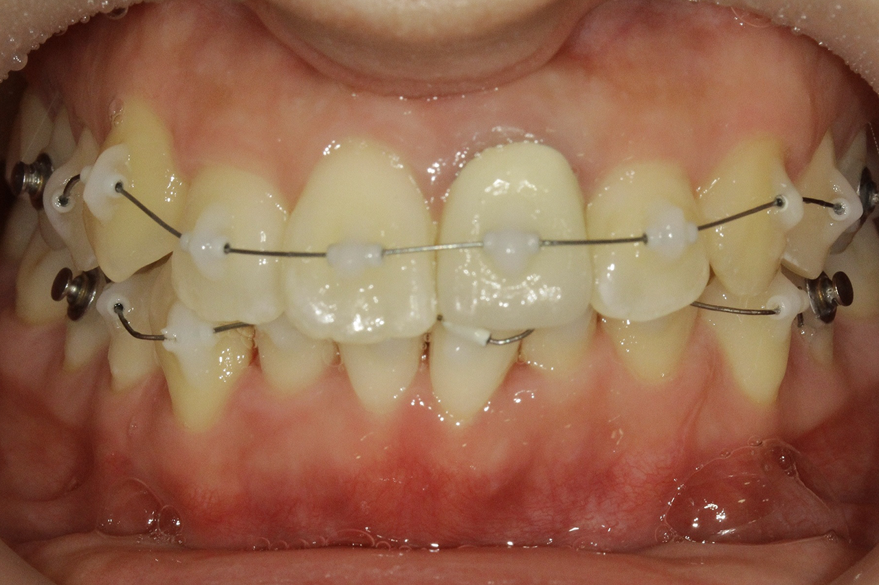
ビフォー&アフター
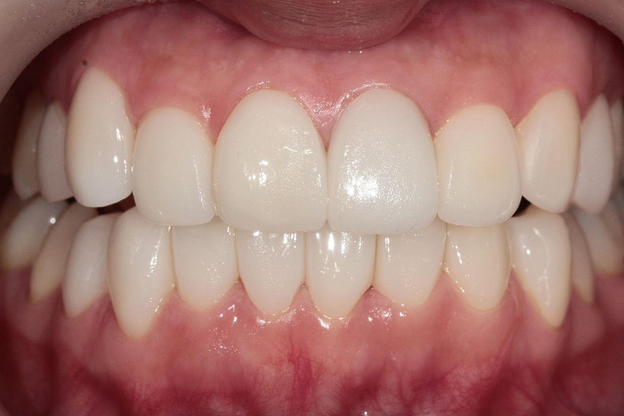
CERAMEL

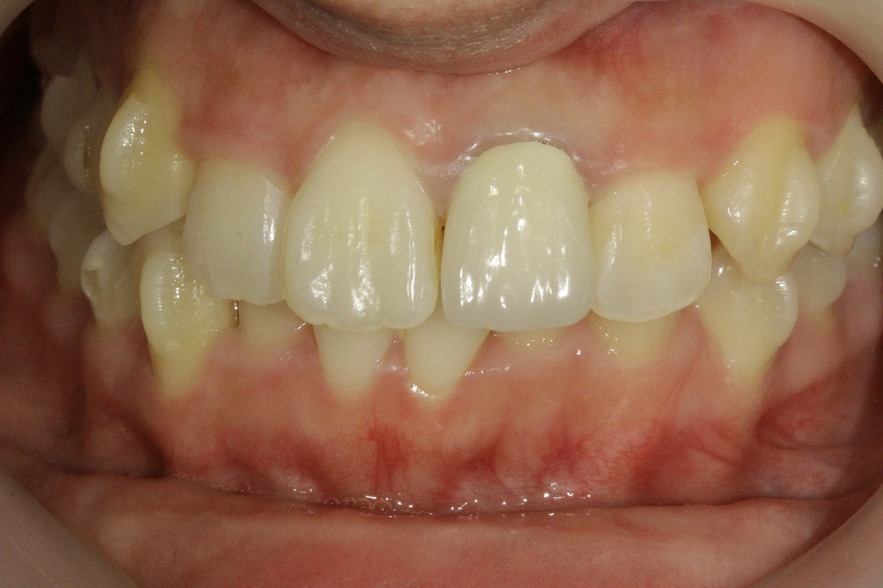
ビフォー&アフター