'세라치과'(이하 본원이라 함)은 귀하의 개인정보보호를 매우 중요시하며, 『개인정보보호법』을 준수하고 있습니다. 본원은 개인정보처리방침을 통하여 귀하께서 제공하시는 개인정보가 어떠한 용도와 방식으로 이용되고 있으며 개인정보보호를 위해 어떠한 조치가 취해지고 있는지 알려 드립니다. 본원은 개인정보취급방침을 개정하는 경우 홈페이지 공지사항(또는 개별공지)을 통하여 고지할 것입니다.
증상별 전후사진
시술별 전후사진
-
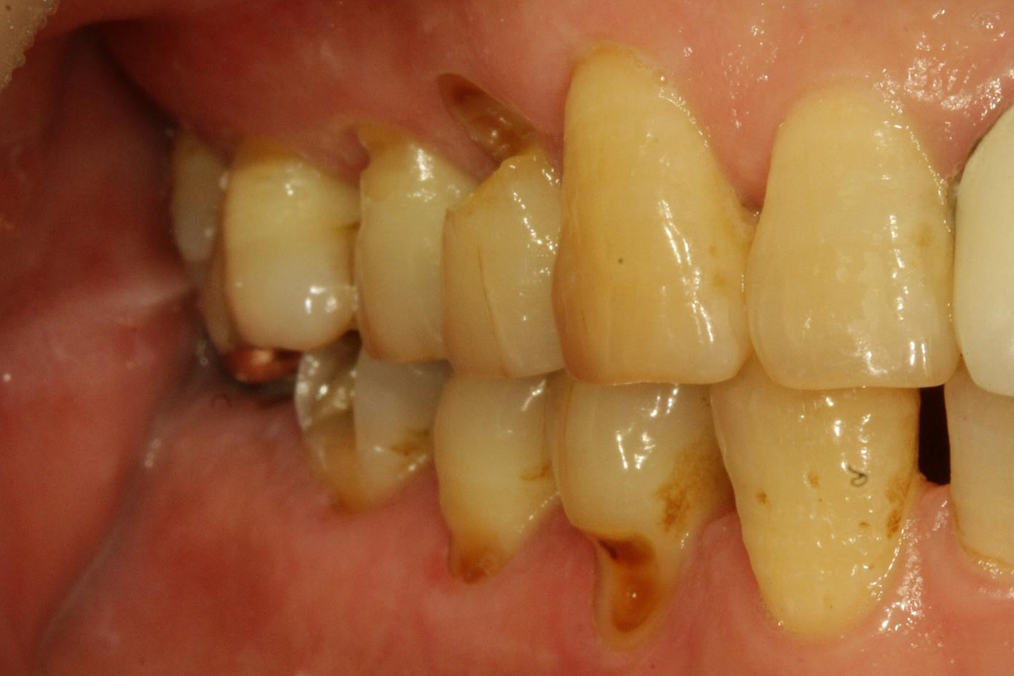
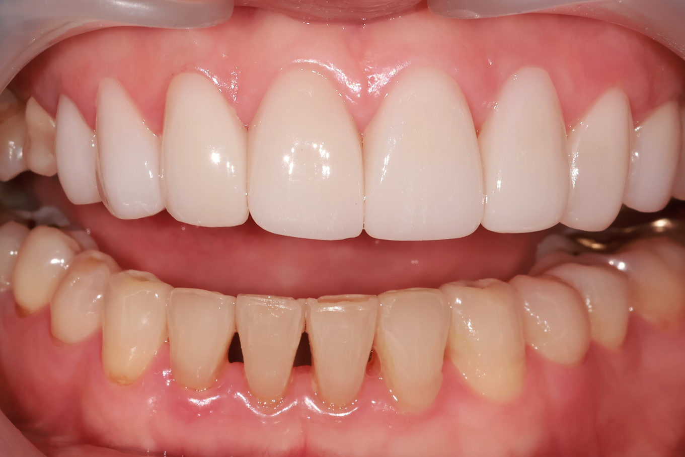
Before
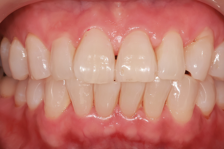
After
촬영일자 2024.10.05 ~ 2025.03.20CERAMELCeraShield
-
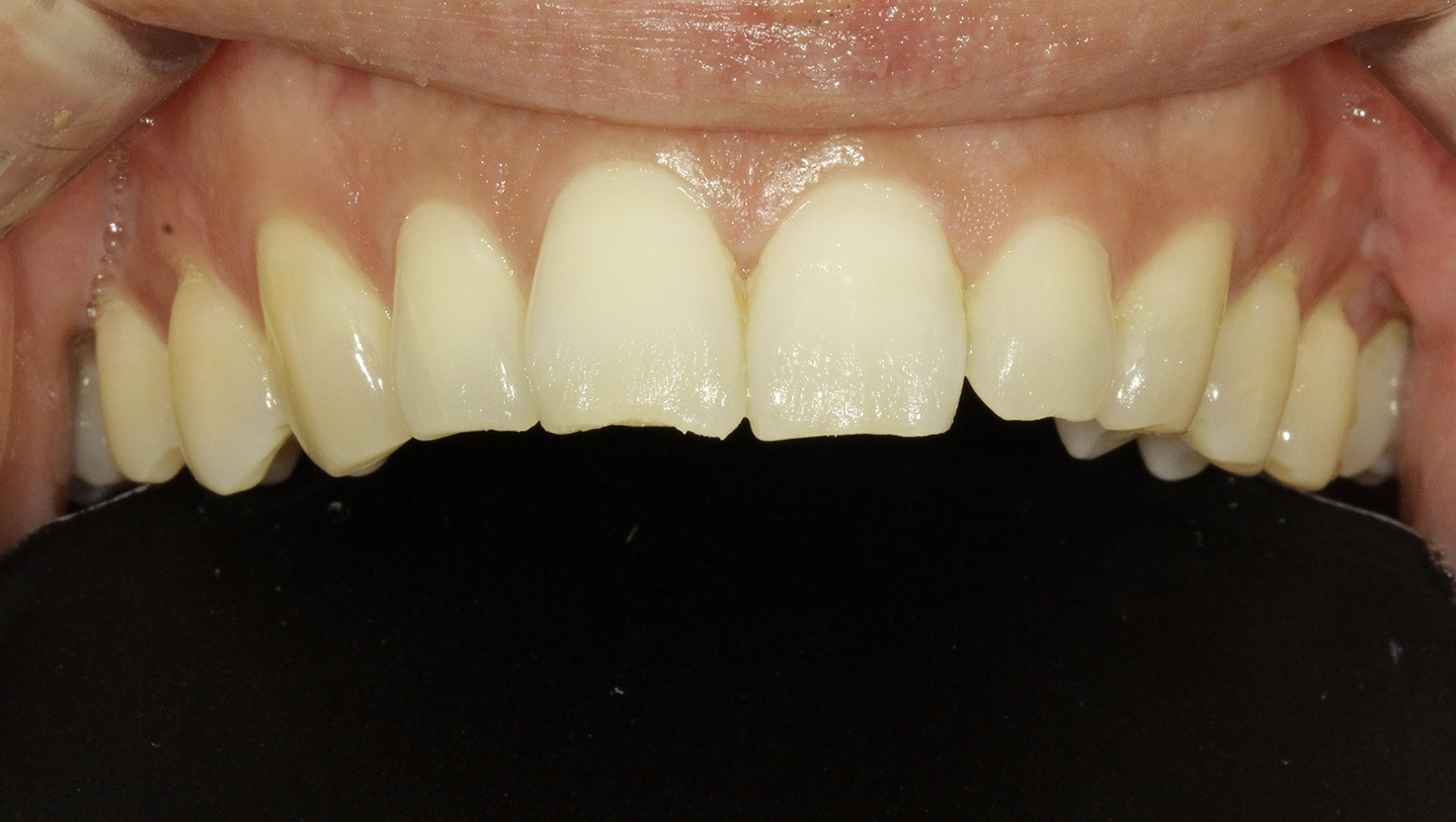
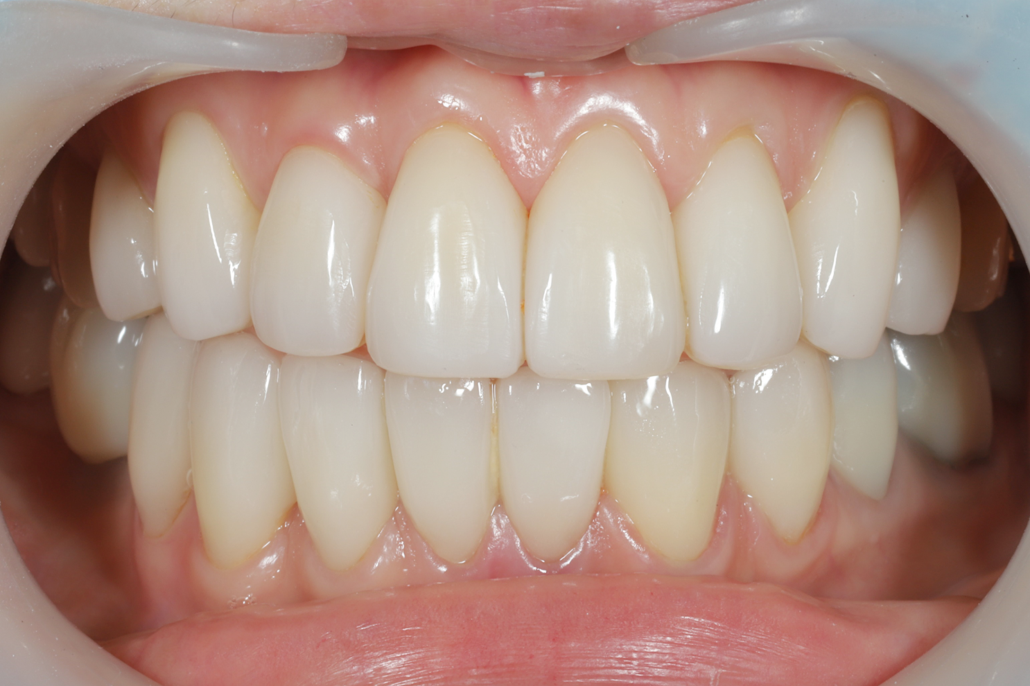
Before
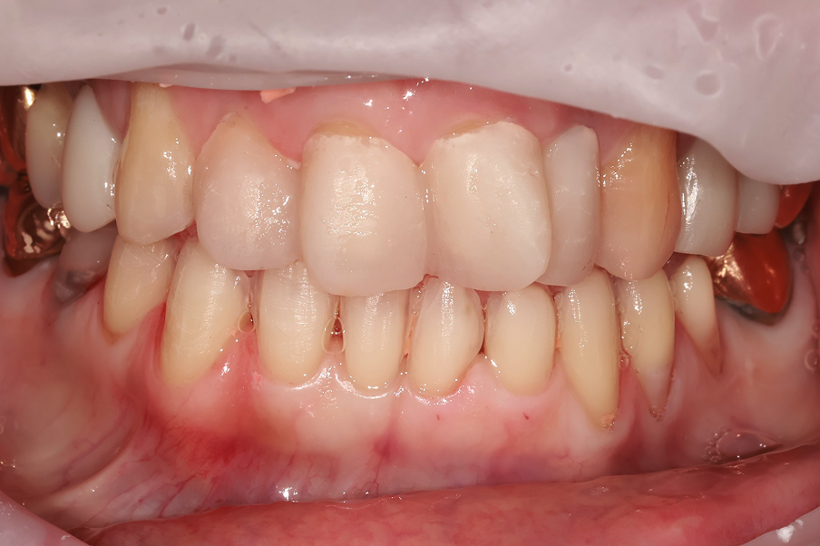
After
촬영일자 2026.01.13 ~ 2025.01.10CERAMELCeraShield
-
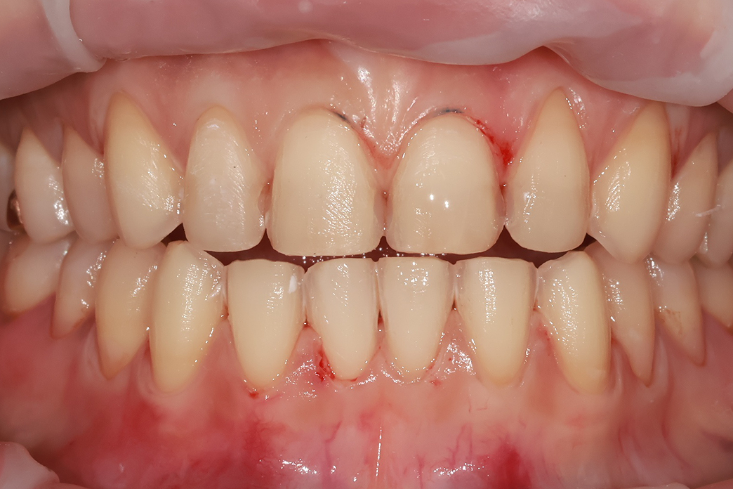
Before
After
촬영일자 2024.08.15 ~ 2025.01.20CERAMELCeraShield
-
Before
After
촬영일자 2026.01.13 ~ 2026.01.13CERAMELCeraShield
-
Before
After
촬영일자 2024.09.10 ~ 2025.02.15CERAMELCeraShield
-
Before
After
촬영일자 2024.07.22 ~ 2025.01.10CERAMELCeramel
-
Before
After
촬영일자 2024.06.18 ~ 2024.12.20CERAMELCeramel
-
Before
After
촬영일자 2024.09.25 ~ 2025.03.15CERAMELCeramel
-
Before
After
촬영일자 2024.08.05 ~ 2025.01.12CERAMELCeramel
-
Before
Middle
After
촬영일자 2024.07.08 ~ 2024.12.18CERAMELCeramel
-
Before
Middle
After
촬영일자 2024.08.20 ~ 2025.02.10CERAMELCeramel
-
Before
Middle
After
촬영일자 2024.06.12 ~ 2024.11.20CERAMELCeramel