Ceramel Logo

당신의 미소를 새롭게, Ceramel
치아를 지키며 아름다움을 더합니다

아름다운 미소를 원했지만, 치아를 깎아야 한다는 부담이 있었습니다.
과도한 삭제, 파절, 시림까지. 고민이 많았을 것입니다.

세라멜은 그 고민에서 시작했습니다.
자연치처럼 아름답게, 오래도록 건강하게.
치아를 지키면서도 아름다운 미소를 가질 수 없을까?

그 답을 찾았습니다.
25년의 경험과 연구 끝에, 당신의 치아를 지키는 세라멜을 만들었습니다.

Ceramel-intro

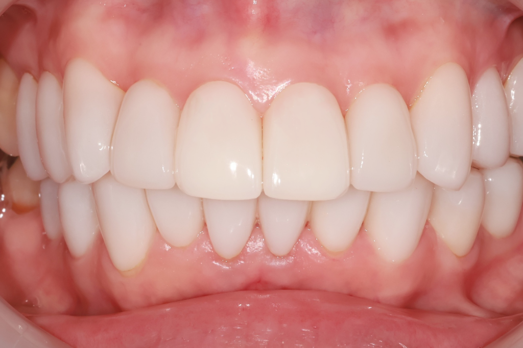
내 치아 그대로
아름다움을 더하는 세라멜

자연치와 구분할 수 없는 투명함과 질감
세라멜은 당신의 자연치처럼 보이고 느껴지도록 만들었습니다.
건강한 치아는 최대한 보존하고, 아름다움만 더합니다.
오래도록 당신의 미소를 지켜드립니다.
아름다움과 건강, 둘 다 선택할 수 있습니다.

다른 위치와 치료에 목적에 따라 달라지는 선택

Ceramel Solution Line-up

Ceramel

세라믹과 에나멜의 장점만 모아서 개발한
세라치과의 라미네이트 기술

치아를 최소한으로 삭제하면서도 자연치와 구분할 수 없는 아름다움을 선사합니다.
세라치과만의 노하우로 당신의 미소가 더욱 밝고 자연스럽게 빛나도록 합니다.

자세히보기
CeraShield

노출된 치아의 뿌리를
초박형 세라믹으로 커버하는 시술

시간이 지나도 변색 없이 자연스러움을 유지합니다.
초박형 세라믹으로 치아를 보호하면서도 당신의 미소가 오랫동안
아름답게 빛나도록 지켜드립니다.

자세히보기
CeraCap

세라치과만의 노하우로 마모가 심한
치아의 높이를 원래 길이대로 복원하는 시술

마모되어 어금니의 기능과 모양을 되돌립니다.
편안한 씹기와 아름다운 미소를 함께 되찾을 수 있도록,
세라치과만의 정밀한 기술로 복원합니다.

자세히보기

왜 세라멜인가요

25년의 경험으로
만들어진 신뢰

오랜 시간 쌓아온 경험으로, 당신의 치아를 가장 잘 이해합니다.
단순히 하얗게 만드는 것이 아니라, 당신만의 고유한 아름다움을 찾아드립니다.
기능과 아름다움, 모두를 생각합니다. 세라멜의 핵심 가치는 치아의 투명감과 치아의 결을 그대로 재현하는 것입니다.

Ceramel-different-img1
Ceramel-different-img2

한 곳에서 완성되는
맞춤 제작

병원 내 기공소에서 당신만을 위한 세라멜을 만듭니다.
얼굴과 치아에 어울리는 자연스러운 디자인으로,
필요할 때 바로 수정해 더욱 완벽한 결과를 만들어갑니다.

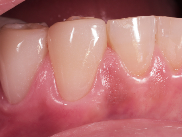
정밀함으로 완성되는
당신만의 세라멜 0.1

최신 장비로 0.1mm ~ 0.2mm의 정밀한 세라멜 판을 제작합니다.
치아를 최대한 보존하면서도 자연스럽고 안정적인 결과를 약속합니다.
당신의 미소를 위해 한 땀 한 땀 정성으로 제작합니다.

Ceramel-different-img3

하루 만에 변화하는 미소

시술 안내

기간

상담부터 부착까지 원데이 ~ 1주 범위

검진

부착 후 2주 내 내원 점검으로 마무리

회복

다운타임 거의 없이 일상 복귀 가능

당신을 위해, 단계마다 정성으로

치료 과정

  • 01

    1차 검진 및 상담

    당신의 치아 상태를 꼼꼼히 확인합니다.
    현재 상태를 정확히 파악하고, 함께 목표를 정합니다.

    Ceramel-process-img1
  • 02

    2차 검진 및 상담

    정밀한 3D 스캔으로 당신만의 세라멜을 설계합니다.
    가장 자연스럽고 아름다운 결과를 위해 함께 준비합니다.

    Ceramel-process-img2
  • 03

    잇몸 건강 보완

    잇몸 건강을 먼저 확인합니다.
    건강한 기반 위에서 아름다운 결과가 오래 지속됩니다.

    Ceramel-process-img3
  • 04

    제작 준비 단계

    당신의 얼굴과 치아에 어울리는 디자인을 함께 만듭니다.
    형태와 색상을 세심하게 조절해 가장 자연스러운 결과를 만들어갑니다.

    Ceramel-process-img4
  • 05

    세라멜 피팅

    최종 결과를 함께 확인하고 조절합니다.
    밝기, 모양, 자연스러움을 세심하게 맞춰 당신이 원하는 미소를 완성합니다.

    Ceramel-process-img5
  • 06

    완성

    마침내 당신의 새로운 미소가 완성됩니다.
    정밀하게 부착하고 편안함을 확인합니다.
    함께 최종 결과를 확인하며 만족스러운 미소를 만들어갑니다.

    Ceramel-process-img6
  • 07

    지속적 예후관리

    완료 후에도 계속 함께합니다.
    정기적인 점검으로 아름다운 미소를 오래 유지하도록 도와드립니다.
    당신의 미소가 항상 아름답게 빛나도록 관리합니다.

    Ceramel-process-img7

오래도록 아름다운 미소를 위해

사후 관리 & 주의사항

정기 검진과 클리닝, 필요 시 재폴리싱으로 광택과 편안함을 유지합니다.

초기에는 과도한 자극을 피하고, 필요 시 나이트가드를 착용하세요.

생활 습관(착색 유발 음식/음료) 안내와 교합 점검으로 수명을 늘립니다.

Ceramel Transformation

세라치과와 함께한 변화

다시 자신 있게 웃는 순간들

전후사진 보러가기
  • After
    Before

    Ceramel

    2026-01-13
  • After
    Before

    Ceramel

    2026-01-13
  • After
    Before

    Ceramel

    2026-01-13
  • After
    Before

    Ceramel

    2026-01-13
세라치과 위치

세라치과 진료 예약

위치

서울시 강남구 봉은사로 457, S&C TOWER 1층

편안한 내방을 위해 발렛 주차 서비스를 진행하고 있습니다.

진료 안내

대표전화
02-540-0017
평일
AM 10:00 ~ PM 07:00
점심시간
PM 13:00 ~ PM 14:30
휴진

토요일

일요일

공휴일

상담 예약
온라인 예약